Le fratture nei bambini

Le fratture nei bambini sono eventi assai frequenti ma che si presentano radiologicamente in modo diverso rispetto agli adulti .

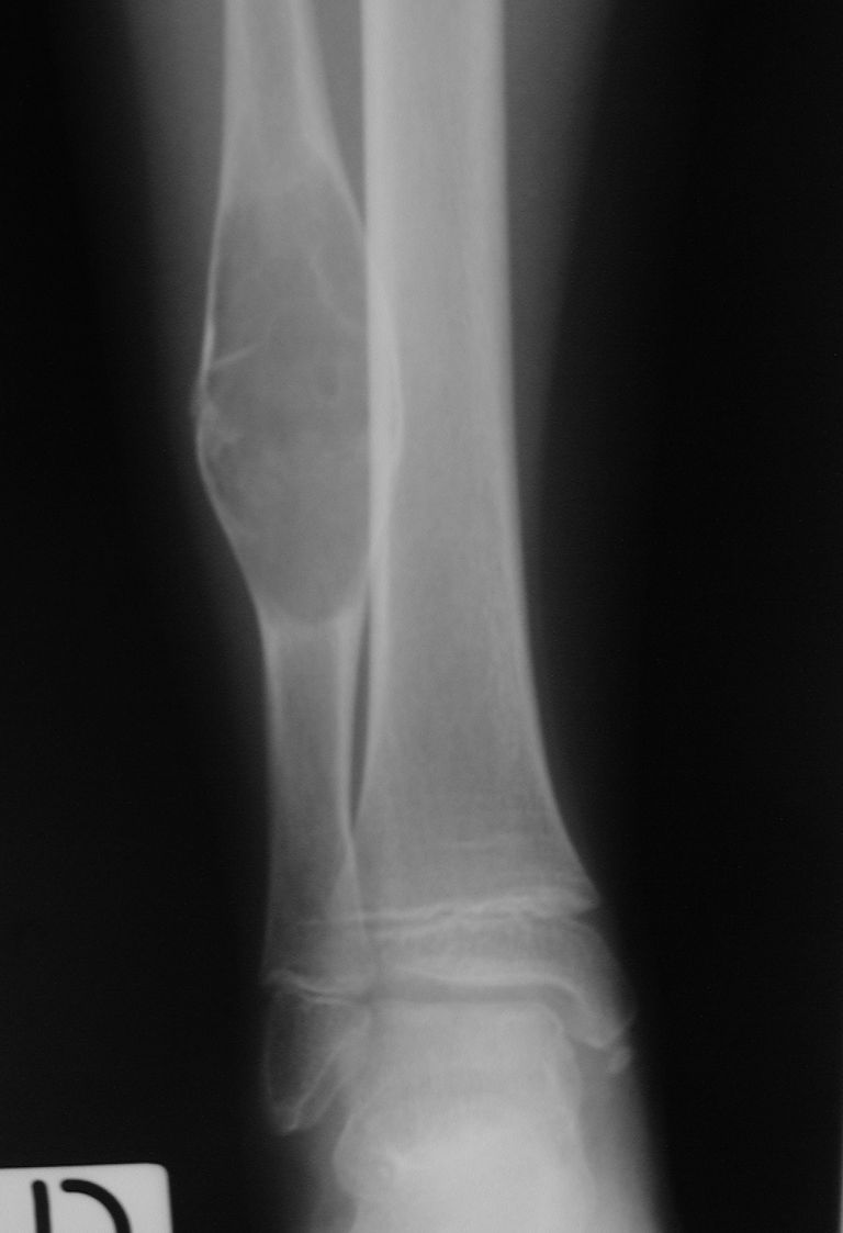
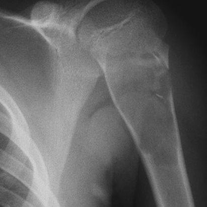
In questi casi ci troviamo di fronte a una frattura patologica su cisti ossee; anche in questi casi il reperto è occasionale dopo un trauma minimo accidentale. Possono riscontrarsi in varie parti del corpo, normalmente a carico delle ossa lunghe quali omero ( immagine a lato)  oppure in sede peroneale ( caso in basso ).

Inalazione di corpi estranei 

Altra evenienza frequente nel bambino è l'inalazione di corpi estranei di varia natura; i più pericolosi sono certamente quelli vegetali ( quali arachidi, piselli etc ) che possono provocare anche la perforazione da decubito della regione bronchiale in cui si deposita.

In questi casi la radiografia dl torace, eseguita in inspirio ed espirio, aiuta nell'individuazione della regione colpita .

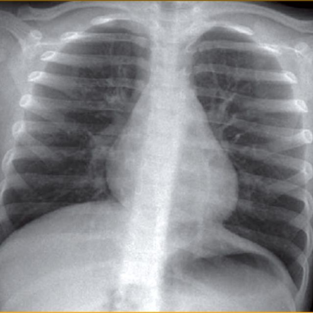
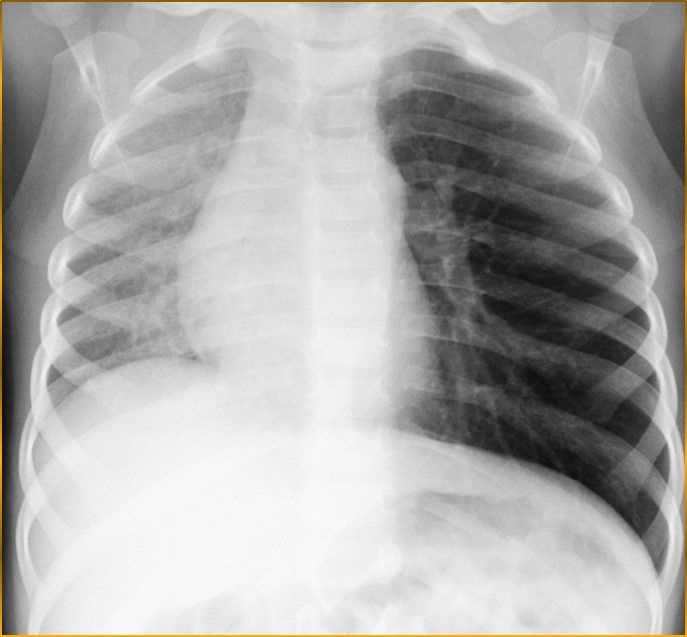
Radiografia del Torace in inspirio

Si intravede alterazione della diafania del campo polmonare sinistro

Radiografia del Torace normale

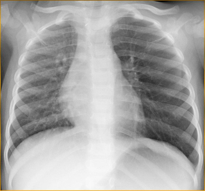
Radiografia del Torace in Espirio

Si vede chiaramente la mancata espulsione dell'aria dal campo polmonare a sinistra per occlusione bronchiale

Information icon

Abbiamo bisogno del vostro consenso per caricare le traduzioni

Per tradurre i contenuti del sito web utilizziamo un servizio di terze parti che potrebbe raccogliere dati sulla vostra attività. Si prega di rivedere i dettagli nell'informativa sulla privacy e accettare il servizio per vedere le traduzioni.